O Tratamento de Canal - Endodontia
O dente não é uma estrutura homogênea. Em suas estruturas existe o esmalte dentário que protege o dente do meio ambiente.
Por um defeito anatômico por um acidente e na maioria dos casos pela presença de placa bacteriana forma-se a carie que não tratada acaba atingindo a polpa. Neste caso o dentista precisa ser procurado para o tratamento de canal.
Quando o tratamento de Canal não consegue resolver o caso pode-se recorrer à Cirurgia Periapical.
Cirurgia Periapical.
É a cirurgia realizada na “ponta da raiz de um dente” (ápice dental). O objetivo dessa cirurgia é descontaminar e limpar essa região (região periapical).
É necessária quando o ápice dental estiver contaminado ou existir algum “corpo estranho” provocando irritação. Também pode existir a formação de um cisto.
Nesses casos, pode-se notar pela radiografia do dente uma área escura ao redor da raiz (lesão apical), sinal de que ele está com problemas. No ato cirúrgico é retirado o material para exame Histopatológico.

Entretanto, essa não a principal maneira de se resolver problemas nessa região. O cirurgião-dentista tentará fazer tratamento e/ou retratamento de canal (tratar o mesmo canal pela 2ª vez), e se não for suficiente irá propor a cirurgia.
Existem casos em que o procedimento cirúrgico é indicado como primeira opção de tratamento, porém são mais raros.Infecções relacionadas ao ápice dental nem sempre provocam dor. Podem ficar “silenciosas” por muito tempo, crescendo lentamente.Na maioria das vezes, apenas com a radiografia essa lesão poderá ser percebida.
Portanto, realizar consultas e exames radiográficos periódicos, principalmente quando há dentes com o canal tratado, são fundamentais para a prevenção desses e de tantos outros problemas bucais.
Antibióticos e outros medicamentos não resolvem o problema sozinhos, apesar de estarmos lidando com um processo infeccioso.
Existe a necessidade da remoção mecânica das bactérias, juntamente com uma pequena porção da “ponta” do dente (ápice dental) para que elas sejam eliminadas por completo.
Muitas vezes são realizadas retrobturações, ou seja, tampa-se o ápice dental com um material especial a fim de promover um melhor selamento no fim do canal.Se diagnosticado cedo, o tratamento é rápido e com poucas sequelas.
O dente com lesão periapical se não for tratado, muita coisa ruim pode acontecer: dor forte, surgimento de fístulas e abscessos, perda do osso ao redor do dente, lesão nos dentes vizinhos, perda do dente ou, mais raramente, até mesmo a malignização da lesão.
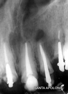
Caso Clinico
Paciente apresentou-se com lesão periapical veja RX inicial, foi indicada a cirurgia e no ato foi retirado material para exame histopatologico, para se descobrir a natureza da lesão.
Notar que a raiz do dente vizinho esta inclinada pela presença da lesão, suspeita de Cisto.O Cisto aumenta de tamanho sempre causando grande perda óssea, causando se não tratado deformidade óssea e dental podendo ser fatal.
Antes da Cirurgia 
Após com redução da perda óssea 
Exame Histopatologico:
Resultado Cisto Odontogênico Inflamatório, Negativo para malignidade.

